Що таке гліома зорового нерву
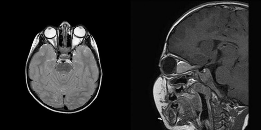
Гліома зорового нерву - пухлина, що виникає з гліальних клітин зорового нерву (див. на рис. МРТ знімки гліоми).
Гістологічно, більшість - пілоцитарні астроцитоми (WHO grade I). Може локалізуватись інтраорбітально та інтракраніально.
Відносно рідкісне захворювання (3% всіх пухлин орбіти), з варіабельний клінічним перебігом. Доволі часто, асоційована з нейрофіброматозом 1-го типу (NF1).
Окрім безпосереднього ураження зорового нерву, може поширюватись на хіазму (chiazma optica) та зорову радіацію (radiatia optica).Через таку локалізацію, діагностично важко відрізнити від гліом гіпоталамуса. В зв’язку з цим, в літературі зустрічаються такі варіації як гіпоталамічно-оптохіазматична гліома, або гліома зорового тракту, що не виключає ураження гіпоталамуса.
Зустрічається переважно у дітей. Для них характерні повільний перебіг, low- grade. Клініка залежить від первинної локалізації - найчастіше це звушення полів зору з поступовою атрофією зорового нерва.
У дорослих виникають рідко, перебіг агресивний, без NF1-асоціації.
Класифікація Доджа
1.Стадія - Ізольоване ураження зорового нерву.
2. Стадія - Ураження хіазми (з або без ураження зорового нерву).
3. Стадія - Упаження гіпоталамуса та інших суміжних структур).
Радіографічно діагностують переважно інтракраніальні гліоми. В радіо-діагностиці інтраорбітальних немає необхідності.






